入れ歯(義歯)

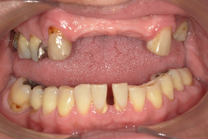
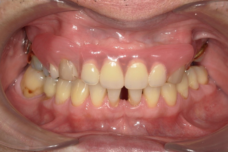
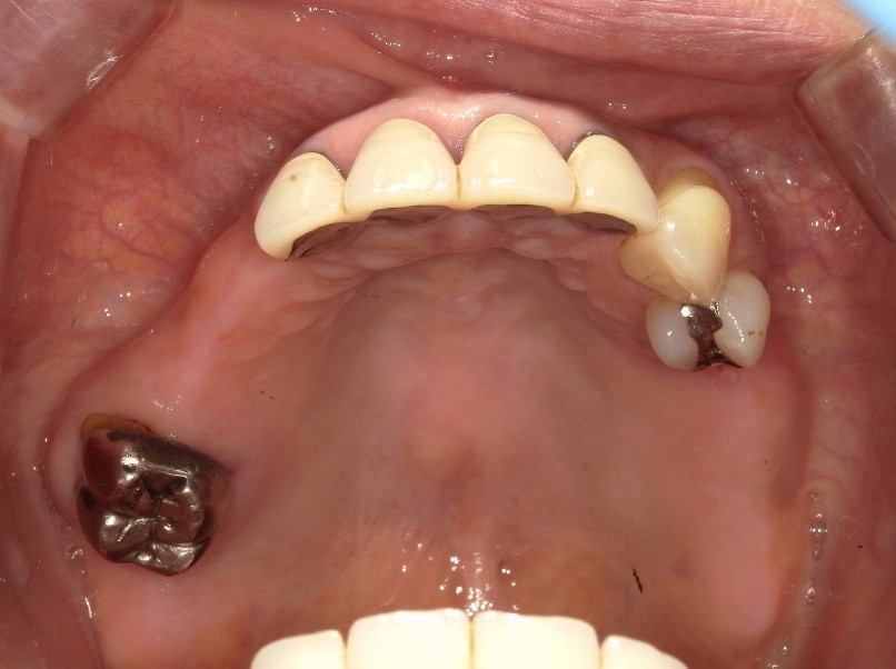
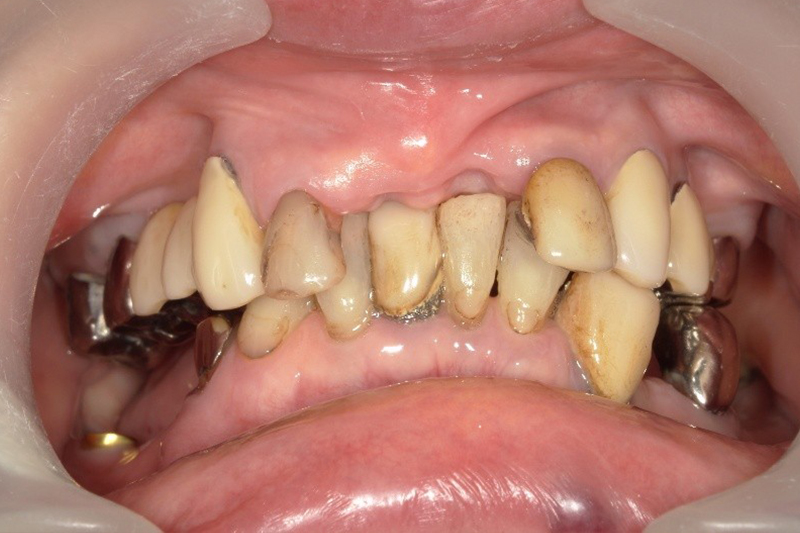
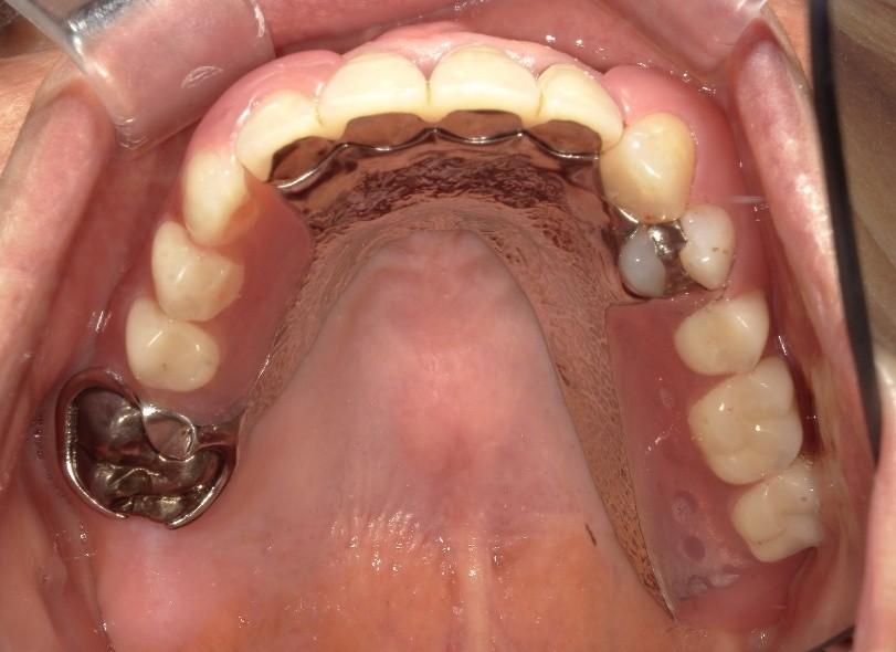
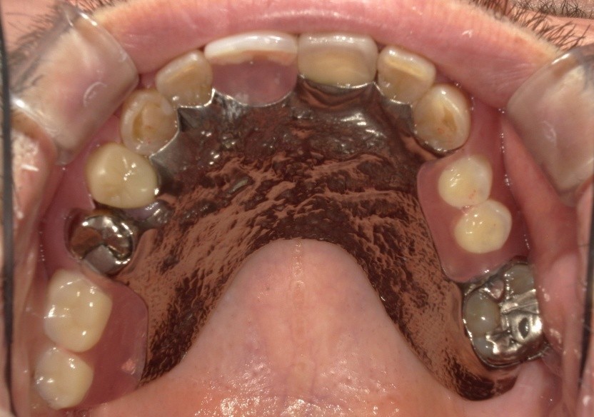
入れ歯(義歯)は、失った歯を補い、噛む・話すといったお口の機能を回復するための大切な治療方法です。保険診療ではプラスチック製の入れ歯が基本となり、比較的費用を抑えて作ることができますが、厚みが出やすく装着感に違和感を感じる場合があります。一方、自費診療ではチタンやコバルトクロムといった金属床や、見た目に自然なノンクラスプデンチャーなど、素材や構造を選ぶことができるため、快適さや耐久性に優れた入れ歯を作製することが可能です。当院では、患者さまのご要望やライフスタイルに合わせて最適な入れ歯をご提案しております。
患者様の人生を豊かにしたい!
健康寿命を伸ばすために、生涯奥歯でしっかり噛める義歯治療をご提案します。
入れ歯(義歯)の特徴比較
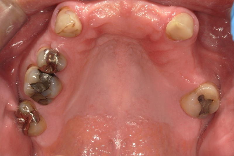
当院で取り扱っている入れ歯は、種類ごとに「審美性・耐久性・装着感・噛みやすさ」が異なります。まずは下の表で、それぞれの特徴を比べてみてください。
| 名称 | プラスチック 義歯 |
ノンクラスプ デンチャー |
ノンクラスプ デンチャー (メタルフレーム付き) |
シリコン デンチャー |
コバルトクロム 床義歯 |
チタン床義歯 |
|---|---|---|---|---|---|---|
| 写真 |
![]() |
![]() |
![]() |
![]() |
![]() |
![]() |
| 審美性 |
★★☆☆☆ |
★★★★★ |
★★★★★ |
★★★★☆ |
★★★☆☆ |
★★★☆☆ |
| 耐久性 |
★★☆☆☆ |
★★★★☆ |
★★★★☆ |
★★★★☆ |
★★★★★ |
★★★★★ |
| 装着感 |
★★☆☆☆ |
★★★★★ |
★★★★★ |
★★★☆☆ |
★★★★★ |
★★★★★ |
| 噛みやすさ |
★★☆☆☆ |
★★★★☆ |
★★★★★ |
★★★★★ |
★★★★☆ |
★★★★☆ |
当院では、入れ歯(義歯)だけでなくインプラント治療も行っております。詳しくはインプラントページをご確認ください。













































