セラミック審美歯科メリットとデメリット (保険銀歯とちがい)
- 審美・美容歯科
- 歯医者さんの耳寄り情報
このコラムを書いた人

あさざわ歯科医院院長 浅澤 清隆
あさざわ歯科、院長の浅澤清隆です。
私は地域のかかりつけ医として、
また、日本口腔インプラント学会専門医として、
日本の成人80%以上が罹患しているといわれる歯周疾患に精通し、
地域の皆様のお口の中の健康向上に寄与したいと思っております。
宜しくお願い致します。
◆セラミック審美治療とは? その① (銀歯保険治療とのちがい)
今回は現在の歯科治療において欠くとこが出来ない素材となっている
セラミックについて詳しくお話しいていきたいと思います。
1.なぜ自費のセラミックをすすめるのか?
2.歯のセラミック治療とは?
3.再治療の少ないセラミック ~嫌われる銀歯~

◆なぜ自費のセラミックをすすめるのか?
歯医者に通って歯を削った際に、銀歯にするか? セラミックにするか?
説明を受けたことはありませんか?
多くの患者さんが、「突然そんなことを聞かれてもわからない」というのが、ほとんどの声です。
実際のところセラミックをすすめる歯科医院は、金儲け主義なのでしょうか?
・例えば、100人の歯科医師に虫歯を削った後に、
銀歯とセラミックのどちらかを選択しますか?
という2択を出したら99人の歯科医師がセラミックを選ぶでしょう。
残りの1人は、歯ぎしりがひどくてセラミックを入れてもすぐに割れてしまう歯科医師でしょう。
・最近では、ジルコニアが登場してからは、銀歯を選択する歯科医師は皆無です!

◆セラミックをすすめる歯医者
・ということで、
我々歯科医師がセラミックをすすめるのは、
金儲け主義でもなく純粋にセラミックを
知って欲しいがために説明するわけです。
確かに銀歯よりもセラミックの方が、
売上げも良いですし利益も大きいですが、
技工料はその分高くなります。
そのため、べらぼうにセラミックの方が儲かるわけではありません。
・結局、セラミックを勧める歯医者が金儲け主義かといえばそんなことはないと思います。
というよりも
セラミックと銀歯の違いをきちんと説明するのは
患者さんへのマナーではないかと思います。
逆に何もせずに銀歯をセットする歯医者は、
金儲け主義ではないという事もおかしな話ではないかと思います。
説明責任自体を放棄しているわけですから・・・
でも、患者さんにとっては、高いものを勧められたと
思われる方もいらっしゃるので難しい問題です。

◆歯のセラミック治療とは?
・「セラミックの詰め物や被せ物を入れる治療」です。

・以前までは詰め物や被せ物の材料は銀歯が一般的でしたが、
最近ではセラミックが人気となっています。
そのため、銀歯を使用している方がセラミック治療によって
セラミックに交換するケースも増えています。
・歯の治療の際に、
「セラミックにしますか? それとも保険の銀歯がよろしいですか?」
と聞かれたことがありませんか?
◆セラミックとは
セラミック治療に使われる「セラミック」とは、
湯呑みやお茶碗と同じ材料である陶材を指します。

歯科治療に用いられている「セラミック」は、
陶材の中でもファインセラミックスといい高精密なセラミックです。
精度が良く、しっかりとした強度と見た目の良さを兼ね備えた材料ですので,
これを歯の欠けの補充や差し歯に使うと歯にぴったりとくっつき、
虫歯の再発リスクが少なくなります。
◆国民健康保険制度とセラミック治療
例1 前歯の差し歯
・前歯の差し歯には、保険適応内だと、
以前は表面にプラスチックを付けた金属製の冠と決まっていました。
表面は白いため、最初は歯に似せることが出来ますが、
材質がプラスチックのため、経年劣化が起こります。
・(カレーなどをプラスチックのお皿に盛ると色が残りますよね。
口の中は様々な食べ物や飲み物が毎日含まれますので、
お茶やコーヒー、タバコといったもので変色の原因となるのです。)
さらにプラスチックは強度が弱く、金属との境界面で欠けてしまうことがあります。
例2 奥歯の被せ物
奥歯では、銀合金の詰め物と被せ物になります。
強度はありますが、銀色なので歯の色調ではありません。
また、審美的問題以外では、通常行われる虫歯治療で保険適応の場合、
銀歯などに使用される材料は、長期的な目で見ると
劣化やむし歯の再発などのリスクが高く、
再治療が多く行われてしまうケースが多いのが現状です。
保険適応の治療は日々進歩している知識や技術とは、
かけ離れたものとなってしまっているのです。
◆セラミック治療のメリット・デメリット
≪メリット≫
1.口元が明るく美しいままでいられる
自然な色調で、変色も起こらない。
2。むし歯のリスクが減少する
精度に優れ、歯とよくなじみ、汚れもつきにくいので虫歯になりにくい。
3.アレルギーの心配がない
体との親和性が良い安心の材料。
4.歯並びの改善が期待できる
軽度の歯並びが不正の場合、被せ物で一部修正することも可能です。
≪デメリット≫
1。強い力で割れてしまう
歯ぎしりや食いしばりなど、噛み合せが強い方は噛み合せの調整が大切になります。
2.自費治療となる
保険制度での治療が認められていないので、費用が高額になる。
◆再治療の少ないセラミック ~嫌われる銀歯~
・保険治療で奥歯の治療をされた場合にいきなり銀歯を入れられてしまうことがありませんか。
保険制度の影響から選択される治療や材料には制限があり、
残念ながら最低限の治療しか行われないのが現状です。
・しかし、白い歯を求める方が多くなってきた昨今、セラミックに対する関心が増えてきました。
今回は銀歯を避ける理由についてご説明していきます。
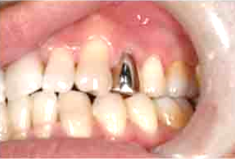
■とにかく目立つ
写真のように1本だけ銀歯で他周りが白い場合、銀歯がやけに目立ってしまう。
会話の最中や笑った時にどうしても相手から見られてしまいます。

銀歯を用いた治療は日本人特有なので、海外でも好奇な目で見られてしまうことがあるようです。
■歯や歯茎が黒ずんでくる
金属(銀合金)は口の中に入ると、徐々にその成分が溶け出してきます。
その結果アレルギーなどを引き起こす原因にもなり、
また金属の周りの歯茎が刺青が入っているように黒ずんだり、
歯そのものが黒くなってくることがあります。

■虫歯が出来やすい
銀歯は削った歯と厳密にはぴったりとは接着れていません。
そのためその境目から汚れや菌が入り込みやすく、2次的に虫歯になり易いものです。
一方、セラミックは精度に優れ、使用する接着剤も劣化がしにくいため、
様々な刺激が多い口のでも安定した状態を維持出来ます。

◆セラミック治療のご相談
セラミック治療は、保険適用外となり自費での治療になります。
そのため、患者さまの皆さまに納得した治療を受けていただきたいと思います。
どのような事でも構いませんのでお気軽に当院までご相談下さい。

◆診察、歯科健診のご予約、お問い合わせは ⇒ こちら から
(ご予約して頂いたほうが、待ち時間少なく診察させて頂くことができます)
※予約完了時はメールで返信させて頂きます。
当院からのメールが迷惑メールフォルダに受診される場合がありますので、ご注意ください。
(予約の状況によって、お電話をおかけすることもございます)
当院のインプラント治療について、ぜひこちらのページもご確認ください!
・つめ物・差し歯 セラミック審美歯科の特徴 ② (メリット・デメリットや価格について)
保険の白い歯:CADCAM冠 って ?値段、割れる、デメリットは?








