「歯が黄色い」 と感じている人 必見! その理由4選
- 予防・ホームケア
- 審美・美容歯科
- 歯の豆知識
- 歯医者さんの耳寄り情報
このコラムを書いた人

歯科衛生士 MT
あさざわ歯科、歯科衛生士のMTです。一人でも多くの方が健康的な歯で幸せな生活を送れるよう治療に対する不安や恐怖を和らげ、安心して治療を受けて頂くために、日々勉強をしていきたいと思っておりますので、どうぞよろしくお願い致します。
こんにちは! 越前市武生あさざわ歯科
医院、歯科衛生士のMTです。
当院では、インプラントの検診や
歯周病の定期健診を行っていますが、
最近「クリーニングを受けたい!」
「歯を白くしたい!」という方も
増えています。
そこで今回は、
『歯が黄色い・茶色いと感じる理由』
に関する疑問にお答えしますね。

◆歯が黄色い・茶色いと感じる理由
《 目次 》
① 歯が黄色い・茶色いと感じる原因4選
・エナメル質に着色汚れがついているから
・象牙質の色が元々濃いから
・老化によるもの
・歯の神経によるもの
② 必ず歯を白くできるのは【医療ホワイトニング】
・オフィスホワイトニング : 料金相場 33,000~55,000円
・ホームホワイトニング : 料金相場 22,000~44,000円
【あさざわ歯科医院料金 20,130円(税込み)】
・ウォーキングブリーチ

◆歯が黄色い・茶色いと
感じる原因4選
歯が黄色い・茶色いと感じてしまう
原因は主に4つあります。
①エナメル質(歯の表面)に着色汚れが
ついているから
②象牙質(歯の内側)の色が元々濃いから
③老化によるもの
④歯の神経によるもの

◆① エナメル質に着色汚れ
がついているから
この場合は歯医者でクリーニング
してもらったり、
市販の歯磨き粉で歯が白くなります。
またタバコやコーヒーなど色の濃い
ものを避けるか、
よく歯を磨くことで歯が黄色・茶色
になるのを防ぐことができます。



◆② 象牙質の色が元々濃いから
この場合は歯医者でクリーニングしてもらっても、
市販の歯磨き粉でも歯は白くなりません。
歯医者でホワイトニングをしてもらい、
専用の薬液を浸透させ歯を内側から
白くする必要があります。
自分の歯の色は
①着色汚れが原因なのか
②象牙質の色が原因なのか
見極めるには、まずは歯医者で
クリーニングしてもらったり、
市販の歯磨き粉を使ってみると良いでしょう。

それで変化があれば原因は、
①着色汚れ。変化がなければ
②象牙質の色であると言えます。
歯の黄色い原因が②象牙質の色である場合は、
何度きれいにクリーニングしてもらっても、
高い歯磨き粉を使っても、どれだけ丁寧に歯磨きをしても
歯は白くなりません。
ホワイトニングを行う必要があります。
私も実際そうでした。

◆③ 老化によるもの
歯は、組織そのものの老化でも黄色く、
色が変化します。
日本は「自分の歯でいつまでも」と
いう考え方が強いですが、
海外では「歯が綺麗でない=お金がない」
というのが主流です。
みんな元々歯が綺麗・白いのではなく、
お金をかけています。
若者でも高齢者でも、みんな歯が綺麗に
並んでいて真っ白ですよね。
それに比較して日本の国会で政治家は、
テレビで見ると歯並びや色が綺麗ではないことか?

◆④ 歯の神経によるもの
虫歯が進行し、
歯の神経がやられてしまった場合。
この場合も歯の色は茶色く変化します。
これもホワイトニングによって歯を
白くすることもできます。

◆必ず歯を白くできるのは
【医療ホワイトニング】
歯科医院で行うホワイトニングには3種類あり、
先述のどれが原因であっても効果があります。
①オフィスホワイトニング
②ホームホワイトニング
③ウォーキングブリーチ


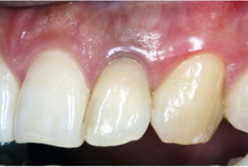
◆① オフィスホワイトニング
✔︎メリット・・・短時間で高い効果が得られる
✔︎デメリット・・・費用が高く、色の後戻りがしやすい
「歯医者でホワイトニング」というと
こちらです。専用の薬液を浸透させ、
光を当てて歯を白くします。
所要時間は60分~90分程度です。
私が1回で効果があったのもこの
オフィスホワイトニングです。

オフィスホワイトニングは高濃度の薬液
を使って歯を白くします。
短時間で効果を感じられますが、
歯科医師のもとで行う必要があります。
ゆえに自宅で同じ濃度の薬液を使ったり、
同じような効果を得ることはできません。
また、色の後戻りがしやすいです。
そのためオフィスホワイトニング後は
色の濃い食事・飲み物を避けるなどが必要です。



それでも後戻りすることはあります。
ゆえに歯の白さを保つためには、
オフィスホワイトニングを
定期的に行う必要があります。
もちろん自分が満足したら
終わりにしてOKです。



◆ ① オフィスホワイトニング
料金
オフィスホワイトニングの料金の相場は、
33,000円~55,000円です。
《あさざわ歯科医院料金》
・基本コース (税込み)
1回目 16,500円
2回目 13,200円
知覚過敏抑制剤 2,000円
専用ハミガキ剤 1,100円

◆② ホームホワイトニング
✔︎メリット・・・自宅で行うことができる
✔︎デメリット・・・効果を感じるまでに時間がかかる
まずは歯科医院へ行き、自分専用の
マウスピースを作ってもらいます。
そして自宅でマウスピース内に
ホワイトニングジェルを流し込み、
歯にはめて、歯を白くするという方法です。
所要時間は2〜3時間程度で、
日々の継続が必要です。


◆ ② ホームホワイトニング
料金
ホームホワイトニングの料金の相場は、
22,000円~44,000円 です。
《あさざわ歯科医院料金》
トレー製作 (上・下) 5,500円
ジェル×4本(14日分) 13,200円
リテーナーケース 330円
専用ハミガキ剤 1,100円
合計 20,130円 (税込み)
※追加ジェル1本 4,400円 、2本セット 6,600円

◆③ ウォーキングブリーチ
こちらは「歯の神経が
やられて歯が茶色くなった方」
向けのホワイトニングです。
①オフィスホワイトニング や
②ホームホワイトニングが歯の
表面から浸透させていくのに対し、
この③ウォーキングブリーチは
歯の内側に薬剤を入れ、
内側から浸透させていきます。
ただし歯がしっかり残っていること、
噛み合わせに問題がないことなど
が条件となります。
※高濃度の薬剤をある程度の期間、
交換を要するためあさざわ歯科
では現在行っておりません。



いかがでしたか?
「歯が黄色い」 と感じている人必見!
その理由4選 について理解が
深められたでしょうか。
歯に色がつく原因はさまざまで、
それによって対応方法も変わって
きます。歯そのものの色が黄色い
・茶色いと感じる場合、歯科医院
での【医療ホワイトニング】でない
と効果がありません。
患者さまにぴったりの治療法を
担当医と相談してお決めください。

快適な環境でクリーニングやメンテナンスをお受け下さい ♪
越前市武生あさざわ歯科医院、歯科衛生士のMTでした。
◆診察、歯科健診のご予約、お問い合わせは ⇒ こちら から
(ご予約して頂いたほうが、待ち時間少なく診察させて頂くことができます)
※予約完了時はメールで返信させて頂きます。
当院からのメールが迷惑メールフォルダに受診される場合がありますので、ご注意ください。
(予約の状況によって、お電話をおかけすることもございます)
当院が作成したコラムのバックナンバーです。是非ご覧ください!








