≪親知らず≫ の抜歯のお知らせ
◆【 親知らず 】の抜歯のお知らせ
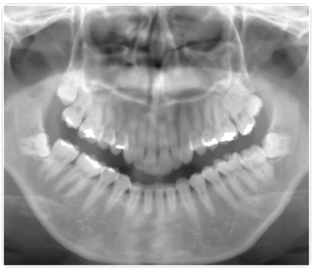
◆難しい症例も高い技術と経験で抜歯可能です。
・あさざわ歯科医院(口腔外科)は抜歯の技術に自信があります。
最新の設備・高い技術力・長年の経験から、
難しいとされる事例も的確な処置で安全に抜歯を行います。

難しいケースはCTスキャンにより精査します。
大学病院へ紹介される歯科医院も多いと思いますが、
大学病院へ行く時間のとれない方は当院にて対応いたします。


・親知らず等の痛み、違和感などございましたら
まずはお気軽にご相談下さい。
◆親知らずの抜歯、診察のご予約、お問い合わせは ⇒ こちら から
(ご予約して頂いたほうが、待ち時間少なく診察させて頂くことができます)
※予約完了時はメールで返信させて頂きます。
当院からのメールが迷惑メールフォルダに受診される場合がありますので、ご注意ください。
当院の口腔外科治療について、是非こちらもご覧ください!








